The Maternal Fetal Medicine Research Group focuses on:

  • advanced engineering techniques to Doppler ultrasound to improve perinatal imaging and outcomes
  • the application of continuous blood glucose monitoring technology to management of gestational diabetes. 

Our student projects cover general clinical obstetrics and maternal-fetal medicine.

Our goals

We aim to develop, validate and introduce novel imaging technology to detect the at-risk fetus, in order to target in utero therapy or intervention.  We are exploring the use of continuous glucose monitoring (CGM) as a diagnostic tool for gestational diabetes mellitus (GDM) and have undertaken numerous pilot studies in this area. CGM has the potential to be a superior and more highly individualised test than the oral glucose tolerance test to evaluate glycaemic control.

Research strengths

Our areas of research strengths include: 

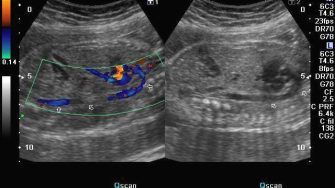
  • Application of the first non-invasive bedside tool for determination of vascularity / perfusion (three-dimensional fractional moving blood volume or 3D-FMBV that our team invented).
  • Functional fetal cardiology evaluation using automated Doppler techniques.
  • Application of infra-red camera tracking technology to evaluation of placental perfusion; plane-wave technology for visualisation of placental vascular using the Verasonics Vantage research ultrasound platform.
  • Our team is multidisciplinary, and cross-Faculty.
  • As a perinatal research group, we are fortunate to have both obstetric and neonatal researchers; two disciplines that work together so closely clinically but rarely collaborate directly for research.
  • We are unique in the strength of our engineering collaborations and were one of the first recipients of Biomedical Engineering Seed Funding through UNSW.
  • Based within the Royal Hospital for Women, we have direct access to patients allowing us to be constantly aware of why we are researching and how we might impact outcomes for mothers and babies.  
  • We have a dedicated imaging research space with state-of-the-art ultrasound machines, including the Verasonics Vantage 256 ultrasound system (we are the only centre in Australia to have TGA approval).
  • We work closely with the clinical team of endocrinologists, obstetricians and diabetic educators in management of diabetes in pregnancy.

Our results

  • Developed the first non-invasive technique for measurement of perfusion using ultrasound (3D-FMBV).
  • 2022 funding from the Stillbirth Foundation of Australia for a pilot study looking at 3D-FMBV in prediction of the ‘at-risk’ fetus for stillbirth or intrapartum distress.
  • Using infra-red camera tracking we have been able to map for the first time multiple ultrasound volumes into a ‘total placental reconstruction’ which should facilitate demonstration of placental vascularity throughout the placenta. This work was funded by UNSW Biomedical Engineering Seed Funding.
  • A current PhD student has received a number of local grants for work into CGM in GDM.
  • Commencing an international multicentre study looking at fetal functional cardiology evaluation in the context of fetal heart disease.
  • Supervised over 50 UNSW Medicine Honours / Integrated Learning Project students on projects linked to the themes above or related to clinical obstetrics and maternal-fetal medicine. Further Engineering Honours students are based with our group. We have a number of PhD students, including those shared with the Faculty of Engineering. The integration of Engineering and Medicine undergraduate and postgraduate students creates a strong environment for innovation.

Our experts

Professor of Maternal-Fetal Medicine Alec Welsh
Professor of Maternal-Fetal Medicine
opens in a new window
Perinatal Imaging Researcher Samantha Thomas
Perinatal Imaging Researcher
opens in a new window
Associate Professor Amanda Henry
Associate Professor
opens in a new window

Our affiliate partners

We’re in a unique position collaborating with a number of schools within the Faculty of Engineering on research including: 

  • School of Biomedical Engineering: Scientia Professor Nigel Lovell
  • Professor Erik Meijering
  • School of Mechanical Engineering: Professor Tracie Barber
  • School of Computer Science: Professor Arcot Sowmya
  • School of Materials Science and Engineering: Professor Sean Li
  • A/Prof Danyang Wang

We collaborate with several international research groups within Europe, the United Kingdom and the United States of America.

Ongoing Studies

Working towards a better pregnancy outcome for mum and baby:

Help us to detect babies at risk of still birth or problems during birth with an ultrasound and free images of your baby to take home.

Study title: Detecting the 'at risk' fetus by non-invasive bedside assessment of fetoplacental blood flow.

Sudden loss of the baby’s heartbeat (stillbirth) is one of the most devastating things that can happen to a family. We know that many babies that pass away in utero have problems with the blood flow in their placenta. We also know that when ‘stressed’ babies can choose where their blood flows (to the brain and other essential organs). We have developed a new way to evaluate normal 3D ultrasound volumes and want to see if we can predict babies at risk.​

Here is how you can help us improve the way we care for women in late pregnancy:​

  • We need pregnant women with normal pregnancies and also those complicated with: diabetes requiring insulin; small babies; babies that aren’t moving as well as previously, to undergo one or more ultrasound scans after 24 weeks gestation.​
  • Must be a patient at the Royal Hospital for Women.
  • We will look at your baby’s growth, wellbeing, and blood flows.​
  • At the end of the scan, you will receive digital images of your baby.​

This research is being conducted by the University of New South Wales Perinatal Imaging Research Group at the Royal Hospital for Women, Randwick. It is sponsored by a major international research study aiming to reduce the international rate of stillbirth by 50%.​

Lead Investigator: Professor Alec Welsh, pirg@unsw.edu.au​

Scanning times are flexible and we are happy to work around your schedule. If you want to take part in this study, please submit your interest here.

Please see our study flyer for more information:

Contact us

Perinatal Imaging Research Group​, Royal Hospital for Women, Barker St, Randwick NSW 2031